NextGen AI - Transforming radiology with AI

Fast-tracking triage by navigating complexity and deepening insight

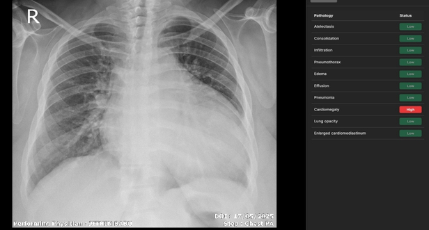
We provide high accuracy detection for 10+ chest pathologies. Our platform integrates seamlessly into your clinical workflow offering real time triaging and validated visual insights.

Explore Our Solution
10+
Pathologies Detected
94.6%*AUC-ROC
Accuracy Rate

The Challenge in Modern Radiology

Chest X-rays are the world's most used diagnostic test, yet implementing them in large-scale screening programs presents significant hurdles. The problem isn't just about accuracy; it's about meeting the demands for speed, consistency, and scale.

Modern radiology workflows struggle with:

Scarce Expertise

Heavy reliance on a limited number of trained radiologists creates bottlenecks in healthcare systems worldwide.

Inconsistent Results

Wide variation in interpretations across different locations and clinicians leads to unreliable diagnoses.

Slow & Expensive

Current methods are inefficient and costly for population-level screening initiatives, limiting accessibility.

Workflow Incompatibility

Systems are poorly suited for the rigorous, high-throughput requirements of visa, immigration, and public-health screening programs.

For massive initiatives like visa medical screening, success depends on achieving speed, standardization, auditability, and the ability to scale seamlessly.

Our AI-Powered Solution

AI intelligence

Our deep learning architecture is validated across 10+ critical pathologies, providing radiologists with a secondary set of eyes that never fatigues.

ATELECTASIS

View Detection

CARDIOMEGALY

View Detection

EFFUSION

View Detection

INFILTRATION

View Detection

MASS

View Detection

NODULE

View Detection

PNEUMONIA

View Detection

PNEUMOTHORAX

View Detection

CONSOLIDATION

View Detection

EDEMA

View Detection
THE NEXTGEN ENGINE

Powering the Future of Radiology AI

Our proprietary AI engine combines cutting-edge deep learning with clinical expertise to deliver unprecedented accuracy and speed in medical imaging analysis.

In-House Annotation

Our platform offers millions of images annotated by sub-specialty radiologists using our own high-fidelity tools, ensuring the highest quality training data.

Clinical Triage

Automated prioritization of critical results like pneumothorax, effectively reducing time to read for urgent cases and improving patient outcomes.

Diverse Datasets

Bias-free intelligence. Models validated on data from over 50 countries and diverse patient demographics, ensuring global applicability.

Real-Time AI Processing Pipeline

Data Ingestion
AI Analysis
Structured Reports

Our Competitive Edge

Our AI intelligence

We leverage your existing infrastructure and enhance it with our cutting-edge AI technology, creating a seamless integration that maximizes efficiency without disrupting workflows.

  • Seamless Integration: Works with your current PACS and EHR systems
  • Real-time Analysis: Instant detection and prioritization of critical findings
  • Explainable AI: Visual heatmaps and clear rationale for every detection
  • Regulatory Ready: Built with FDA and CE certification pathways in mind
  • Global Scalability: Deploys in cloud, on-premise, or hybrid environments

Request a Demo

See how NextGen AI can transform your radiology workflow. Contact us for a personalized demonstration.

Email
info@nextgenai.global
Phone
+971 4 3939334
Location
301, BMI Building, Khalid Bin Waleed Street, Dubai, UAE.